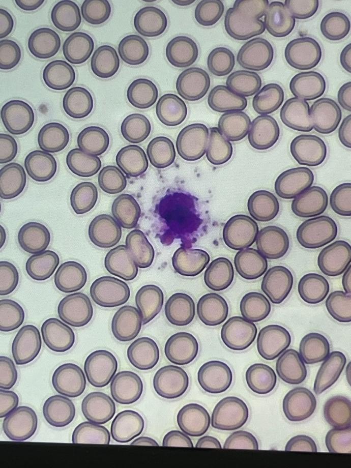
본문 시작 CBC 검사 & WBC Diff 임상병리학과 446 2025-03-24 혈액검사의 가장 기본인 CBC 검사를 기계를 통해 진행하고 현미경을 통해 직접 백혈구 계수하여 기계 결과와 비교해보는 활동을 하였습니다 목록 이전Wright Stain & 초생체 염색 다음 Western blot 만족도조사 만족도 조사 이 페이지에서 제공하는 정보에 대하여 만족하시나요? 매우만족 만족 보통 불만족 매우불만족
입시생을 위한 링크서비스 입학안내 수시모집 정시모집 편입학 Q&A 학과안내 성적자동산출 입시자료신청 대학소개 장학제도 >학생생활관(기숙사) >찾아오시는길 캠퍼스투어 >국제교류 >학군단(ROTC) >통학버스 입시생 레이어 닫기